
1. Esegui una scansione radiografica
I dati radiografici 3D vengono registrati.
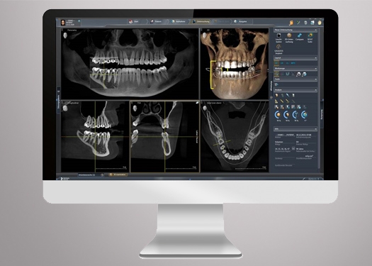
La funzione Sicat è la prima soluzione 3D digitale integrata che mostra il vero movimento della mandibola di ogni paziente in un volume 3D. I tracciati anatomici dell'articolazione temporomandibolare possono essere visualizzati in qualsiasi posizione nel volume.
Reale rapporto condilo-fossa durante il movimento della mandibola; traiettoria anatomicamente corretta; posizionamento specifico della traiettoria nel volume 3D (se necessario, anche a confronto con i punti assiali generalmente utilizzati); valutazione dell'occlusione basata sulle scansioni ottiche superficiali integrate
Diagnosi, pianificazione e consulenza con il paziente.
Importa i dati CEREC per un flusso di lavoro esclusivamente digitale. Inoltre, è possibile simulare l'occlusione dinamica per ogni posizione della mandibola mediante le scansioni CEREC.
Gli strumenti integrati per l'istruzione dei pazienti chiarificano le necessità di trattamento
I dati radiografici 3D vengono registrati.
Registrazione dei dati CEREC relativi alla mascella e alla mandibola del paziente e successiva fusione con i dati 3D nel software.
Grazie alla registrazione ad alta precisione di tutti i gradi di libertà e movimento della mandibola con il tracciamento del movimento della mascella SICAT JMT+, ora è possibile trasferire, visualizzare ed eseguire una diagnosi del movimento anatomicamente corretto della mandibola nel volume 3D:
Inoltre, è possibile simulare l'occlusione dinamica per ogni posizione della mandibola mediante le scansioni di superficie ottica (CEREC).
Le informazioni diagnostiche ottenute con la tecnica CBCT, il tracciamento del movimento della mascella (SICAT JMT+) e i dati visivi di superficie (CEREC) vengono combinati nella funzione SICAT. Quindi, questa è la prima soluzione 3D digitale integrata che mostra il vero movimento della mandibola di ogni paziente in un volume 3D. I tracciati anatomici dell'articolazione temporomandibolare possono essere visualizzati in qualsiasi posizione nel volume. Inoltre, è possibile valutare l'occlusione in base alle scansioni ottiche superficiali integrate
SICAT Optimotion è il primo apparecchio terapeutico prodotto con un processo completamente digitale, usando i dati reali del movimento della mandibola specifico del paziente.
L'apparecchio terapeutico SICAT Optimotion è realizzato secondo il principio di un apparecchio di Michigan sulla base dei dati CBCT, della scansione ottica superficiale e dei dati relativi al movimento della mandibola ottenuti dal SICAT JMT+. La funzione SICAT è la prima soluzione che include sia l'occlusione che l'articolazione temporomandibolare nella diagnosi e nella pianificazione del trattamento.
I vantaggi: apparecchi terapeutici personalizzati che riducono drasticamente il proprio processo di regolazione.
Scopri di più sui sistemi radiologici Dentsply Sirona e richiedi maggiori informazioni.