
PIA – asistent pro polohování pacienta
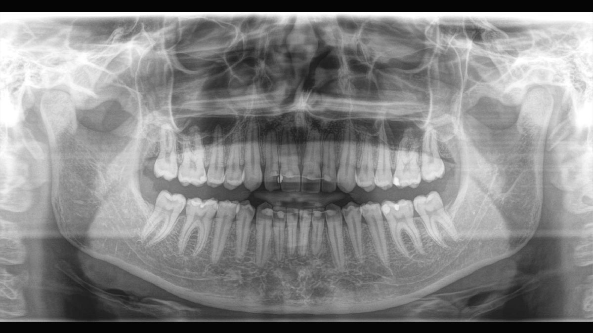
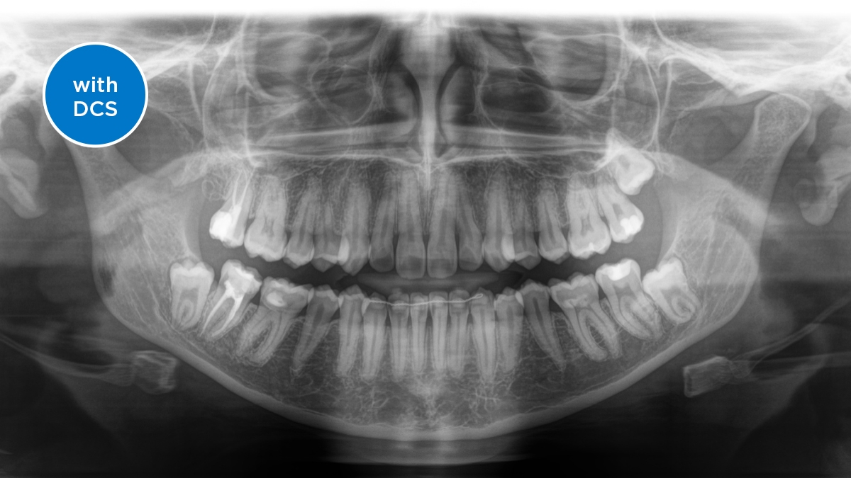
PIA (Patient Positioning & Image Assistant) je 10bodový koncept pro snadné polohování pacienta a rentgenové zobrazování a je především o dvou věcech: vysoké kvalitě snímků a komfortu pro pacienta a obsluhu rentgenu. PIA poskytuje podporu a zajišťuje nástroje pro zhotovení vysoce kvalitních snímků, potřebných pro analýzu léčby. Je zaměřen na ergonomii a komfort pacienta i obsluhy rentgenu. Patentovaný skusový blok automaticky zajistí správné naklonění hlavy, umístění pacienta v okluzní rovině, a spolu s 3bodovou fixací hlavy a pevnými madly pro stabilní polohu pacienta omezuje potřebu nežádoucích korekčních skenů.