Spolehlivá diagnóza je nejdůležitější věcí na začátku jakéhokoli ošetření. Měla by být přesná, avšak rychlá. K tomuto účelu používáme nejmodernější technologii, která rozšíří Vaše spektrum – z celého snímku až do nejmenšího detailu, nabídne výjimečnou kvalitu obrazu při nejmenší dosažitelné dávce ozáření a také optimalizovanou vizualizaci. To vše Vám zajistí větší spolehlivost při analýze snímku a stanovení konečné diagnózy jak ve 2D tak 3D.
Univerzální 2D / 3D hybridní zařízení s velkým FOV a vysokou kvalitou obrazu pro praxe se širokým spektrem léčby. Axeos Vás přesvědčí nejen svým vysoce kvalitním výkonem, ale také zaměřením na pohodlí a design.
Tato všestranná 2D/3D hybridní jednotka se vyznačuje revoluční technologií a patentovaným polohováním. Volitelné kefalometrické rameno přináší další výhodu k široké škále funkcí, které přístroj nabízí.
Toto všestranné hybridní 2D / 3D zařízení nabízí celou řadu funkcí pro podporu všech 2D a 3D úkolů ve vaší praxi. Díky flexibilním velikostem objemu a nastavitelným možnostem dávky máte skvělého partnera pro podporu Vašeho workflow.
Dostupné objemy: podle individuálních potřeb od Ø 5 cm x 5.5 cm do Ø 17 cm x 13 cm
Režim vysokého rozlišení
V HD režimu je pořízeno až 1 400 jednotlivých snímků za jedno otočení při zajištění vysokého rozlišení, nízké hlučnosti rentgenu v rámci vybraného objemu.
MARS
MARS automaticky odhalí a zredukuje kovové artefakty na 3D snímcích za použití inovativních algoritmů
Nízká dávka
Režim nízké dávky (Low Dose) – při velmi redukované dávce záření mapuje hutné struktury jako je kost a poskytuje podporu při analýze Vašeho ošetření v mnoha různých klinických situacích.
4 objemy, široká škála indikací
Koordinované velikosti objemů pro Vaše potřeby, od Ø 5 x 5.5 cm po Ø 17 x 13 cm
Ukázky 3D snímků
Objem Ø 5 cm x 5.5 cm HD
Objem Ø 17 x 13 cm HD
Objem Ø 8 x 8 cm Low Dose
MARS – software pro redukci kovových artefaktů
Kovové artefakty jsou ve 3D rentgenovém zobrazování výzvou. RTG-kontrastní objekty vytvářejí během trojrozměrné rekonstrukce stíny a šmouhy a tím narušují výsledný snímek. MARS automaticky redukuje kovové artefakty a usnadňuje stanovení diagnózy.
Porovnání snímků "S" a "BEZ" použití softwaru MARS
Otestovali jsme MARS a jsme z něho nadšení. Vidíme toho o tolik víc, že už si ani nedovedeme představit pracovat bez MARS.
Lékařské rentgenování je předmětem konfliktu zájmů. Na jedné straně je pro spolehlivou diagnózu nezbytné dosáhnout maximální kvality obrazu, avšak na druhé straně by dávka záření měla být pro pacienta co možná nejnižší. My v Dentsply Sirona se snažíme nabízet produkty, které kombinují skvělou kvalitu obrazu s nejmenší možnou dávkou ozáření. Při vývoji našich produktů se řídíme mezinárodně platnou zásadou ALARA ("as low as reasonable achievable – tak nízká, jak je rozumně dosažitelné“).
Nízká dávka
Díky optimalizovanému režimu nízké dávky (low dose) se speciálním filtrem je zobrazování hutných struktur jako jsou kosti možné i při aplikaci velmi redukované dávky. To činí z režimu nízké dávky atraktivní a účinnou volbu pro mnoho klinických situací. Ať už se jedná o ortodoncii nebo implantologii – díky produktům od Dentsply Sirona najdete optimální řešení pro každý případ.
Dávka podle indikace
3D Low Dose (nízká dávka) je vhodná pro celou řadu klinických situací.
Speciální filtr
Na rozdíl od konvenčních přístupů, režim nízké dávky (Intelligent Low Dose) od Dentsply Sirona sníží mA, ale zároveň aplikuje i speciální měděný filtr. To umožní dobrou viditelnost hutných struktur (např. kosti) i za použití nízké dávky ozáření.
Intuitivní
S rentgeny od Dentsply Sirona si můžete být jisti, že jedním kliknutím získáte 3D informace i za použití 2D dávky ozáření.
Příklady indikací s použitím 3D nízké dávky
Indikace: stanovení pozice zubů. CBCT objem: Ø 8 cm x 8 cm při 8 μSv
Indikace: lokalizace chybného postavení špičáků. CBCT objem: Ø 5 cm x 5,5 cm při 3 μSv
Indikace: Obstrukce horních cest dýchacích/ spánková apnoe. CBCT objem: Ø 11 x 10 cm při 20 µSv
2D rentgeny
2D řešení v krátkém přehledu
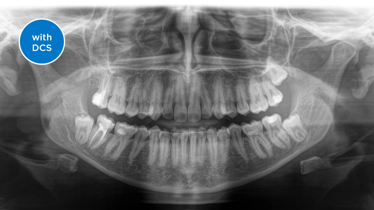
Senzor s přímou konverzí (DCS)
DCS přeměňuje rentgenové záření na elektrický signál, aniž by došlo ke ztrátě informace. DCS senzor vytváří maximálně ostré panoramatické rentgenové snímky s vysokým kontrastem a ve výjimečné kvalitě.
Automatické zaostřování
Funkce Autofokus zajistí díky automatickému zaostření ostré panoramatické snímky i v anatomicky obtížných případech. To vše je možné docílit stisknutím jednoho tlačítka bez dalších mezikroků.
Technologie ostré vrstvy
Čelist automaticky leží v ostré rovině díky individuálnímu a automatickému přizpůsobení anatomii pacienta. Poté je vytvořen ostrý panoramatický snímek z tisíce jednotlivých projekcí.
Senzor s přímou konverzí (DCS): ostrý snímek
Direct Conversion Sensor (DCS - senzor s přímou konverzí) přinesl revoluci do standardů panoramatického zobrazování. Rentgenové snímky jsou přeměňovány přímo na elektrický signál. Nedochází ke ztrátě signálu v důsledku konverze světla jako je tomu u běžných systémů. Výsledkem jsou snímky s extrémně vysokou a vysoce kontrastní úrovní ostrosti i při velmi nízké dávce záření. Pro jasnou diagnózu a mnohem lépe cílenou léčbu.
Senzor s přímou konverzí (DCS): ostrý snímek
Senzor s přímou konverzí (DCS - Direct Conversion Sensor) přinesl revoluci do standardů panoramatického zobrazování. Rentgenové snímky jsou přeměňovány přímo na elektrický signál. Nedochází ke ztrátě signálu v důsledku konverze světla jako je tomu u běžných systémů. Výsledkem jsou snímky s extrémně vysokou a vysoce kontrastní úrovní ostrosti i při velmi nízké dávce záření. Pro jasnou diagnózu a mnohem lépe cílenou léčbu.
Obrázek ukazuje RTG snímek s a bez použití DCS technologie. Přejeďte si středovou linkou po obrázku a uvidíte co DSC senzor dokáže udělat s kvalitou snímku.
Automatické zaostřování
Pro získání vysoké úrovně ostrosti je nezbytné správné zaostření. Čelist musí být v ostré vrstvě obrazu přístroje. Proto Axeos, Orthophos SL a Orthophos S vytvoří během jedné otáčky několik tisíc jednotlivých snímků a automaticky rozpozná oblasti, ve kterých je čelist optimálně umístěna. Ty se zobrazí ve výsledném snímku – bez jakýchkoli manuálních mezikroků.
Na základě výsledků získaných funkcí Autofokus se automaticky vypočítá ostrý snímek. Výsledkem jsou maximálně ostré snímky.
Člen úspěšné rodiny Orthophos, s revoluční DCS kvalitou obrazu pro vyšší úroveň diagnostiky. Díky možnosti upgradu pomocí CEPH a 3D obstojí i v budoucnosti.
Všestranná rentgenová jednotka s širokým spektrem funkcí pro každodenní úkony v praxi. Zajišťuje ostré snímky díky senzoru CsI Plus s funkcí autofokus, s to i v anatomicky obtížných oblastech.
Tento robustní 2D rentgenový přístroj zajistí hladký vstup do světa digitálního zobrazování. S volitelným kefalometrickým ramenem se rovněž stane spolehlivým partnerem v ortodoncii.
Ať už ve své praxi zavádíte digitální technologii, nebo aktualizujete již plně digitální praxi, portfolio intraorálních produktů Dentsply Sirona nabízí to správné řešení pro podporu Vašeho workflow a přizpůsobí se Vašim individuálním potřebám.
Zvýšená citlivost senzoru a rozšířené spektrum expozice optimalizované pro nízkou dávku umožňuje optimální viditelnost a stanovení diagnózy při snížené dávce záření. Podexponované snímky jsou úspěšně vyvážené, je zachována konzistentní kvalita obrazu a flexibilita dávky.
Xios AE Senzor
Xios AE - galerie ukázkových snímků
Další informace
Rodina extraorálních rentgenů
Zjistěte více o naší 2D a 2D/3D hybridní produktové řadě a stáhněte si brožuru o rodině extraorálních rentgenů.
Ať žijí kdekoli, naši autoři mají jedno společné: používají Orthophos SL pro nejasné diagnózy a komplexní případy. Zjistěte více o použití Orthophos SL pro 3D zobrazování.
Zjistěte víc o zobrazovacích systémech od Dentsply Sirona. Vyžádejte si produktové informace o intraorálním zobrazování, software nebo 2D a 3D zobrazovací technologii.