Global Clinical Case Collection - CEREC Tessera
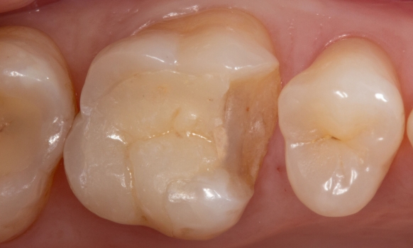
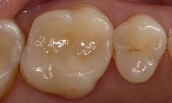
This collection showcases various clinical cases that demonstrate the wide range of indications applicable for CEREC Tessera – from single-visit chair-side restorations to highly esthetic challenges and comprehensive oral rehabilitations including labside-fabricated restorations.
Be inspired and experience how this smart technology can support your work to make the treatment experience for you and your patients better, safer and faster.
Find more Dentsply Sirona - Global Clinical Cases
Booklet: Prime Collection - Clinical Cases Unique, fascinating and inspiring: With this interactive booklet you are about to discover the brand-new collection of Prime clinical cases.
Contact us for more information
Please contact us for more information about Restorative.