
Patient Positioning & Image Assistant concept
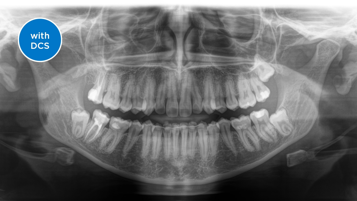
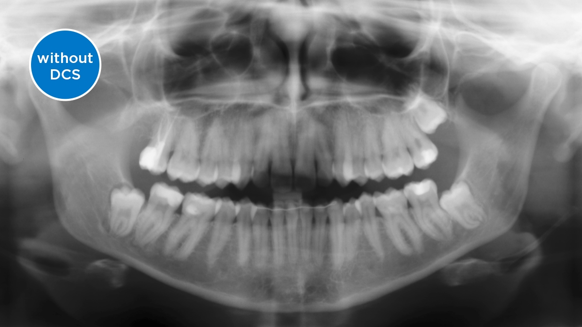
We developed a 10-point concept for easy patient positioning and X-ray imaging. Our concept is primarily about two things: high image quality and comfort for the patient and the assistant. This concept supports and provides the tools needed to ensure high-quality images for treatment analysis and focuses on ergonomics and comfort for the patient and assistant.
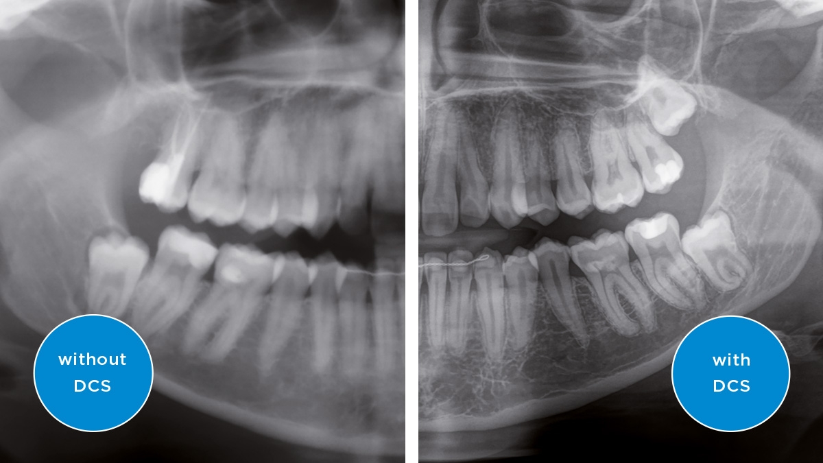
The patented bite block technology, for example, automatically establishes the correct inclination of the patient's head, positioning the patient in the occlusal plane, partnering with the 3 point head fixation and firm handles to ensure stable positioning-limiting unnecessary correction scans.