You are currently visiting Dentsply Sirona .
Do you want to change to Dentsply Sirona ?
Tooth 16 after preparation
After the Hemostasis
Digitalised imprint of the tooth
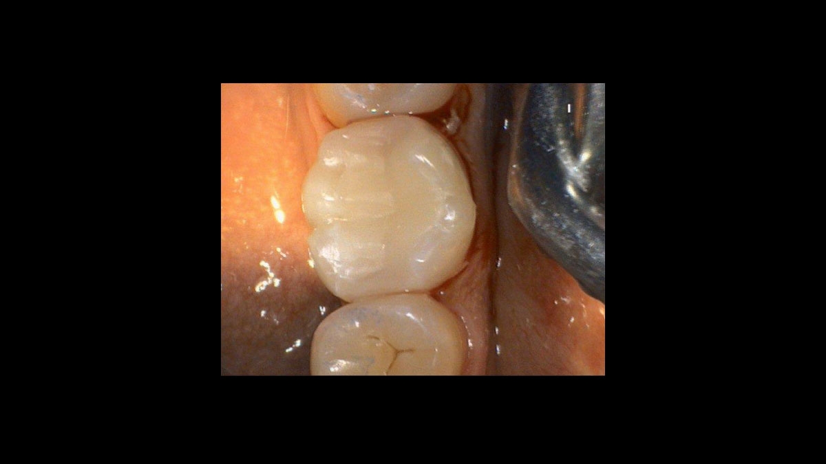
Ceramic Restauration after CEREC treatment