By means of these clinical cases, your colleagues demonstrate the wide range of indications applicable for CEREC – from single-visit restorations to highly esthetic challenges and comprehensive oral rehabilitation.
Be inspired and experience how this sophisticated and smart technology can support you in your work to make the treatment experience for your patients better, safer and faster.
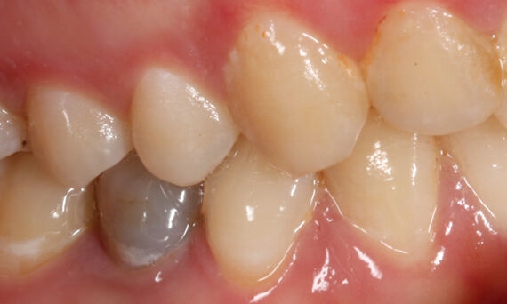
Ankylos implant placement and two CELTRA DUO crowns – Teeth 12 and 22, in 180 minutes
After 9 months of surgeries, CEREC allowed me to restore my patient’s smile in just one visit. The results were fantastic, compared to the initial situation.
Dr. Fernando Peixoto Soares
São Paulo, Brazil
Click here for full case description and images.
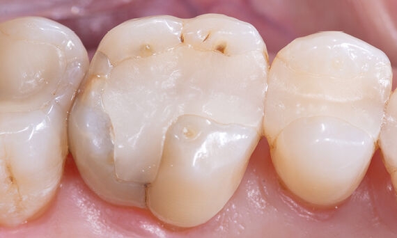
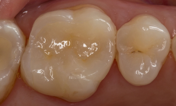
CEREC Tessera inlay – Tooth 26, in 100 minutes
The chairside restoration in a single visit proved to be a particularly effective and comfortable solution for this patient, as her commute to the practice was 50 kilometers. A highly esthetic inlay with CEREC Tessera could be realized.
Dr. Sven Rinke
Hanau, Germany
Click here for full case description and images.
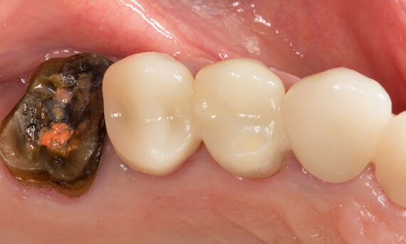
IPS e.max CAD single crown – Tooth 16, in 60 minutes
The clinical case demonstrates how quickly and efficiently CEREC Primemill allows a full-surface glass-ceramic crown to be fabricated chairside in a single session, while meeting the highest esthetic demands.
Dr. Karyn M. Halpern DMD, MS
New York, USA
Click here for full case description and images.
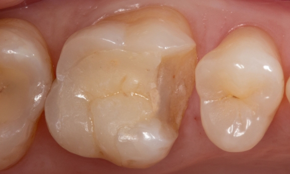
IPS e.max CAD single crown – Tooth 26, in 75 minutes
A quick and very accurate scan, manageable and intuitive design software, combined with a milling and grinding unit that completes a restoration in just a few minutes, makes for a significant increase in efficiency and greater patient satisfaction with my practice.
Dr. Dan Butterman
Centennial, USA
Click here for full case description and images.
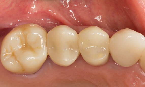
Katana Zirconia STML single crown – Tooth 45, in 90 minutes
Thanks to the newly achieved CEREC workflow time, the restoration of this premolar was very well suited for the chairside treatment with zirconia, which took only about 90 minutes in total. We were able to use full contour zirconia, a material that has good properties for this area of the tooth and, thanks to the wide range of shades available, also offers sufficient results for esthetic requirements.
Dr. Gertrud Fabel
Munich, Germany
Click here for full case description and images.
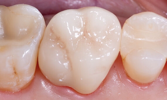
Katana Zirconia STML single crown – Tooth 26, in 90 minutes
CEREC Primemill not only brings speed to the appointment, but also versatility in milling strategies. In this case we chose the Extra Fine milling mode to achieve maximum esthetics and attention to details as possible.
Dr. Mike Skramstad
Orono, USA
Click here for full case description and images.
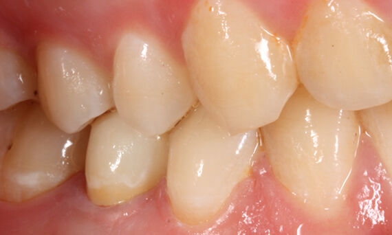
Four IPS e.max CAD single crowns – Teeth 12-22, in 4 hours
The restoration with all-ceramic crowns did not require subgingival preparation to cover the margin and no dark metal shadows disturbed the esthetics. With CEREC Primescan and CEREC Primemill patients receive a high-quality all-ceramic restoration faster than ever before.
Claudia Scholz
Kiel, Germany
Click here for full case description and images.
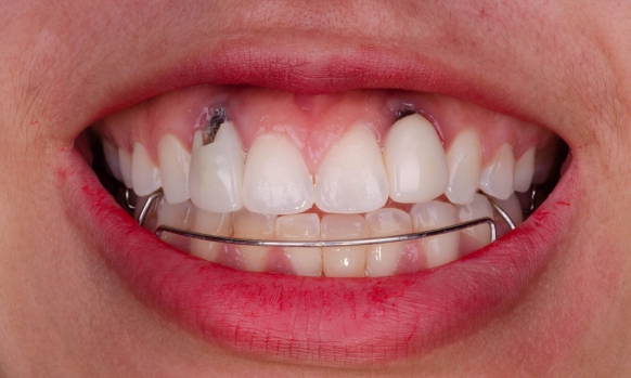
Ten VITA Suprinity PC single crowns – Teeth 15-25, in 2 sessions
The patient wanted a beautiful smile. As teeth 15 to 25 are all visible, the decision was made to use a highly esthetic ceramic for all 10 of them. Due to the extensive consultation and the implementation with a mock-up, the restoration was carried out in two sessions with CEREC.
Dr. Daniel Vasquez
San Diego, USA
Click here for full case description and images.
Booklet: Prime Collection - Clinical Cases
Unique, fascinating and inspiring: With this interactive booklet you are about to discover the brand-new collection of Prime clinical cases.
Contact us for more information
Find out more about the CEREC system from Dentsply Sirona by requesting product information.