임플란트 계획 및 디자인을 위한 소프트웨어
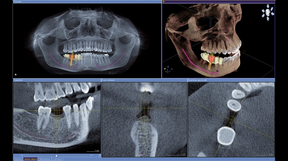
Galileos Implant는 효율적인 방식으로 임플란트 치료 계획에 대한 절차를 안내합니다. 다양한 차원의 영상 분석, 하악관의 신경점 시각화, 임플란트 삽입 및 편집 등의 기능으로 임플란트 위치과 각도 등을 조정할 수 있습니다.
임플란트 배치 계획을 가상으로 볼 수 있기 때문에, 임플란트 시술의 계획을 보다 정확하게 세우는 데 도움이 됩니다. 환자와 3D 시각화를 보면서 상담할 수 있기 때문에, 환자가 치료 계획을 이해하는 데 도움이 됩니다.