Ceph 이미지 촬영
Orthophos S 3D는 언제든지 Ceph arm을 설치할 수 있는 기능을 제공합니다. 촬영실 환경에 맞춰 arm을 장치의 오른쪽이나 왼쪽에 장착할 수 있습니다.
다양한 교정 진료를 위한 Ceph 프로그램
전용 센서를 사용하면 carpus 이미지 뿐만 아니라 측면 및 대칭 P.A 또는 A.P 이미지를 촬영할 수 잇습니다. 변위된 치아의 경우, 3D X-ray를 사용하여 정확한 위치를 확인할 수 있습니다.
Orthophos S 3D는 다양한 진료환경을 위해 광범위한 기능를 제공하는 고품질의 2D/3D X-ray 유닛입니다. Orthophos S 3D는 2D 파노라마로 사용하든 3D 모듈을 사용하든, 일상적인 진료 작업에 최적화되어있어 여러분의 진료실에 든든한 파트너가 되어줄 것입니다.
오토 포커스 기능이 있는 CsI 센서는 해부학적으로 고난도인 케이스에도 선명한 영상 품질을 제공하며, 특허받은 바이트 블록은 자동으로 환자를 포지셔닝합니다. 치아 교정 진료를 위해 옵션인 Cephalo 암을 함께 사용할 수도 있습니다. 미래에 대비한 제품을 생산하는 것을 우선순위로 삼고 있는 자사의 제품 설계 원칙에 따라, 언제든 Ceph arm 추가 장착이 가능합니다.
여러분의 진료실에서 Orthophos S 3D로 광범위한 2D/3D 임상 진료를 수행할 수 있습니다.
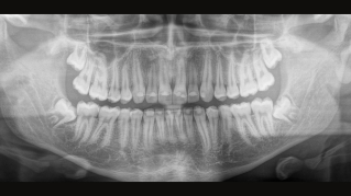
해부학적으로 고난이도의 임상케이스에서도 오토 포커스 기능이 있는 2D CsI센서는 선명하고 깨끗한 이미지를 구현합니다.
ø 5 cm x 5.5 cm 부터 ø 11 cm x 10 cm 까지 선택 가능합니다.
저선량 및 HD 모드를 사용하면 최대 80μm 해상도에서 3D 영상을 촬영할 수 있습니다.
Ceph 영상의 경우 옵션으로 왼쪽 또는 오른쪽에 장착할 수 있으며, 이후에도 방향을 교체할 수 있습니다.
바이트 블록을 사용해 환자를 최적의 위치로 포지셔닝하고 자세를 안정적으로 유지할 수 있습니다.
라이트 로컬라이저, 전동식 지지대, 바이트 블록, 견고한 손잡이는 적합한 위치로 환자를 포지셔닝 하고, 자세를 안정적으로 유지할 수 있도록 합니다.
x-ray 촬영시 가장 중요한 2가지는 다음과 같습니다 : 선명한 이미지, 환자에게 편안함 제공. Orthophos S 3D는 두 가지 모두를 위해 다음과 같은 고유한 솔루션을 제공합니다:
파노라마 영상을 잘 촬영하려면 올바른 초점을 맞추는 것이 중요합니다. Dentsply Sirona 이미징 유닛은 한 번 주기로 수천 개의 개별 영상을 촬영하고 턱이 최적으로 위치하는 부위를 자동으로 식별합니다. 자동 포커스 기능은 촬영된 이미지중 초점이 가장 선명한 이미지를 자동으로 수신합니다. 추가 수동 조작 단계 없이 최종적으로 선명한 영상을 얻을 수 있습니다.
Orthophos S 3D는 언제든지 Ceph arm을 설치할 수 있는 기능을 제공합니다. 촬영실 환경에 맞춰 arm을 장치의 오른쪽이나 왼쪽에 장착할 수 있습니다.
다양한 교정 진료를 위한 Ceph 프로그램
전용 센서를 사용하면 carpus 이미지 뿐만 아니라 측면 및 대칭 P.A 또는 A.P 이미지를 촬영할 수 잇습니다. 변위된 치아의 경우, 3D X-ray를 사용하여 정확한 위치를 확인할 수 있습니다.
| Orthophos S 3D | |
|---|---|
X-ray 발생 장치 (Tube head) |
고전압 발생장치
튜브
|
| 환자가 앉은 상태에서 촬영 가능 여부 |
|
| 제조국 |
|
| 촬영 프로그램 |
|
이미지 센서부 (PAN 센서 = 파노라마 센서) |
|
이미지 센서부 (Ceph 센서 = 세팔로 센서) *옵션 |
|
이미지 센서부 (Flat Panel Detector, 플랫패널 디텍터) |
|
| FOV |
|
| 유저 인터페이스 |
|
| 크기 |
|
| 무게 |
|
이 제품은 '의료기기'이며, '사용상의 주의사항'과 '사용방법'을 잘 읽고 사용하십시오.
의료기기 품목명: 치과용전산화단층촬영 엑스선장치