
Les volumes disponibles de nos modèles
3D en un coup d‘œil :
Volumes supplémentaires disponibles (varient en fonction des modèles) : Ø 8 cm x 5,5 cm, Ø 11 cm x 8 cm, Ø 11 cm x 7,5 cm
*Tomodensitomètrie
Lorsqu‘il s‘agit de volumes, de doses et de qualité d‘images, chaque cas clinique présente des exigences individuelles. La famille Orthophos combine qualité d‘image et polyvalence. Choisissez le volume adapté à vos besoins : du volume focalisé de Ø 5 cm x 5,5 cm au volume de Ø 11 cm x 10 cm, qui représente les dents de sagesse et les voies respiratoires supérieures.
Volumes supplémentaires disponibles (varient en fonction des modèles) : Ø 8 cm x 5,5 cm, Ø 11 cm x 8 cm, Ø 11 cm x 7,5 cm
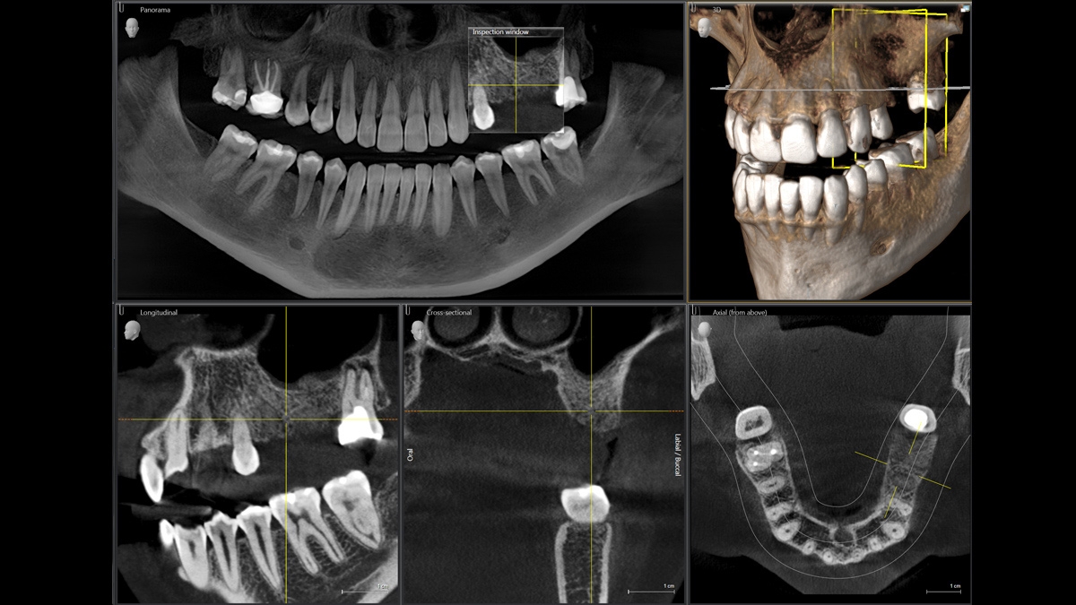
Les artéfacts métalliques représentent un défi pour la radiographie 3D. Lors de la reconstruction tridimensionnelle, les objets radio-opaques créent des ombrages et des effets de stries et perturbent ainsi l‘évaluation. MARS réduit automatiquement les artéfacts métalliques et facilite ainsi l‘évaluation.
MARS maintient autant que possible les structures anatomiquement pertinentes exemptes d‘artéfacts.
En plus du mode Standard Definition (SD), il est conseillé dans certains cas d’augmenter encore la qualité des prises de vues radiographiques. En endodontie, par exemple, afin d‘améliorer la visibilité des structures fines. Pour cela, Orthophos vous propose le Mode Haute Définition (HD), qui prend jusqu’à 800 images par tour, avec un volume 3D à bruit réduit et une résolution élevée pouvant atteindre 80 µm . Il garantit ainsi une évaluation plus rapide et plus fiable dans le volume enregistré.
Un positionnement stable du patient prévient les artéfacts cinétiques. Le dispositif de positionnement motorisé de la tête en 3 points ainsi que les poignées stables offrent le
maintien nécessaire au patient pendant que les centreurs lumineux EVI* vous montrent simultanément comment le patient se situe dans le volume. La mesure intégrée de la
largeur des tempes assure une trajectoire adaptée au patient pour une grande netteté des images.
* EVI = Easy Volume Indicator
Grande qualité d’image pour tous les domaines d’utilisation : la famille des appareils de radiographie en 3D vous prépare à toutes les situations, en proposant des solutions innovantes à vos problématiques aussi bien en 2D qu’en 3D. Vous profitez d‘une flexibilité supplémentaire en 3D grâce au mode à faible dose qui permet de générer des images à plus faible dose d‘irradiation en rapport du niveau des rayonnement en 2D - en fonction de l‘indication* (* Notice d'utilisation d'Orthophos)
Le capteur DCS (Direct Conversion Sensor)* améliore l‘imagerie panoramique. Les rayons X sont convertis directement en signaux électriques - contrairement aux systèmes conventionnels, il n’y a pas de perte de signal due à la conversion de la lumière. Cela se traduit pour vous par une amélioration du rendement des informations sur l‘image. Il en résulte des prises de vues d‘une très grande netteté, même à une dose extrêmement faible.
* Capteur à conversion directe
A gauche : image PAN. A droite : image DCS prise avec Orthophos SL
Clichés PA (postéro-antérieur), AP (antéro-posterieur), et clichés téléradiographiques latéraux avec possibilité supplémentaire de masquer le sommet de la tête et l‘occiput pour réduire encore la dose.
Caractéristiques de performances |
Orthophos SL 3D | Orthophos S 3D |
---|---|---|
Tube radiogène |
60-90 kV, 3-16 mA |
60-90 kV, 3-16 mA |
Panoramic exposure time Temps de pose panoramique |
P1: max 14,2 s P1 Quickshot: max 9,1 s |
P1: max 14,2 s P1 Quickshot: max 9,1 s |
Temps de pose Ceph |
Standard 9,4 s Quickshot 4,7 s |
Standard 9,4 s Quickshot 4,7 s |
Interface utilisateur |
EasyPad | EasyPad |
Positionnement du patient |
automatique (pièce à mordre occlusale) |
automatique (pièce à mordre occlusale) |
Technologie panoramique |
DCS | CsI |
Mise au point automatique |
OUI | OUI |
Bras Ceph (en option) |
gauche ou droite |
gauche ou droite |
Appareils Ceph avec 2 capteurs |
OUI |
OUI |
Quickshot |
OUI |
OUI |
Volume d‘acquisition (dxh) |
5x5 à 8x8 5x5 à 11x10 |
5x5 à 8x8 5x5 à 11x10 |
3D Low Dose |
OUI |
OUI |
Mode HD |
OUI |
OUI |
Pied-support |
en option |
en option |
Adapté aux fauteuils roulants |
OUI | OUI |
Déclenchement à distance |
en option |
en option |
Éclairage ambiant |
OUI | - |
en option |
Les exigences correspondent en réalité à celles du logiciel Sidexis 4. Pour plus de détails, veuillez consulter la configuration requise du système pour Sidexis 4 : Configurations requises Sidexis 4 ici
Orthophos SL fonctionne exclusivement avec Sidexis 4. Néanmoins, la migration des données de Sidexis XG vers Sidexis 4 est possible. Nous recommandons le logiciel Sidexis 4 pour une expérience complète avec les derniers outils.
L’Orthophos SL 2D permet une mise à niveau en 3D. L'Orthophos E n'offre pas cette option.
Dispositifs médicaux pour soins dentaires, réservés aux professionnels de santé, non remboursés par les organismes d’assurance maladie. Lisez attentivement les instructions figurant dans la notice ou sur l’étiquetage avant utilisation.
Galileos Implant/3D. Indication : Logiciel de simulation et de conception pour la mise en place d’implants. Classe/organisme certificateur : IIa/ CE 0123. Fabricant : Sirona Dental System GmbH.
Orthophos. Indications : Appareil pour radiologie dentaire. Classe/Organisme certificateur : IIb/ CE 0123. Fabricant : Sirona Dental System GmbH.
CEREC Guide. Indication : Guide chirurgical précis et personnalisé pour la pose d’implants dentaires, fabriqué par un personnel dentaire ou technico-dentaire spécialisé, en liaison avec des systèmes CAO/FAO et des systèmes de radiographie 3D de Sirona. Classe/Organisme certificateur : I/N.A. Fabricant : Sirona Dental System GmbH.
Xios XG Supreme. Indications : Le système de radiographie XIOS XG est destiné à l’acquisition numérique de clichés intra-oraux à des fins de diagnostic. Classe/Organisme certificateur : IIa/CE 0123. Fabricant : Sirona Dental System GmbH.
Sidexis 4. Indications : Logiciel de gestion, analyse et diagnostic radiographies numériques/numérisées. Gestion et analyse de clichés optiques numériques. Classe/Organisme certificateur : IIa/CE 0123. Fabricant : Sirona Dental System GmbH.
SICAT Optisleep. Indications : Gouttière thérapeutique sur-mesure pour le traitement de ronflements et du syndrome d’apnées obstructives léger à modéré. Classe/Organisme certificateur : IIa/CE 0197. Fabricant : SICAT GmbH & Co. KG.
SICAT Air. Indications : Logiciel de visualisation et de segmentation d’information d’images de la région ORL. Les informations d’images sont issues de scanners médicaux (scanners CT ou DVT, par ex) Classe/Organisme certificateur : IIa/CE 0197. Fabricant : SICAT GmbH & CO. KG.
CEREC MC X/XL. Indications : Appareil d’empreintes numérique pour la fabrication assistés par ordinateur de restauration dentaires. Classe/Organisme certificateur : I/N.A. Fabricant : Sirona Dental System GmbH.
3D EndoTM. Indications : Le logiciel 3D EndoTM est conçu pour faciliter la visualisation, le diagnostic et la planification des traitements endodontiques et des retraitements en utilisant des images DICOM. Classe/Organisme certificateur : Im/CE 0086. Fabricant : Maillefer. 09/2019